CABINET DENTAIRE DE LA FONTAINE
IMPLANTS DENTAIRES et TRAITEMENTS ESTHETIQUES à NIMES

Blog - Page 4

L'hygiène en orthodontie

L'hygiène en orthodontie

29 Jan 2025
Mandibule complète et traitement implantaire pour un bridge fixe scellé

Mandibule complète et traitement implantaire pour un bridge fixe scellé

29 Jan 2025
Eclaircissement ambulatoire

Eclaircissement ambulatoire

29 Jan 2025
Comblement de sinus par voie latérale (sinus lift) avec implantation différée

Comblement de sinus par voie latérale (sinus lift) avec implantation différée

29 Jan 2025
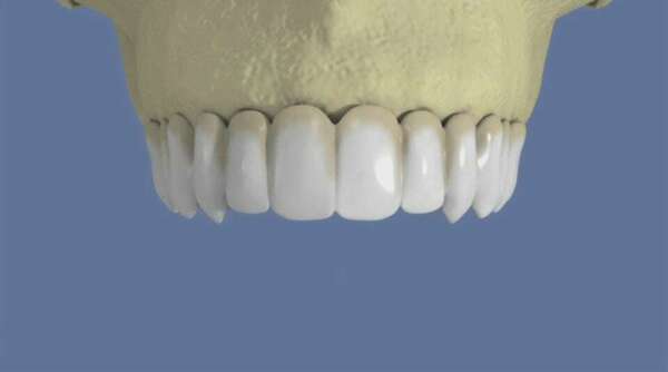
Maxillaire : bridge vissé sans fausse gencive

Maxillaire : bridge vissé sans fausse gencive

29 Jan 2025
Le traitement non chirurgical de la parodontite

Le traitement non chirurgical de la parodontite

29 Jan 2025
La dévitalisation

La dévitalisation

29 Jan 2025
Remplacement d’une dent absente par un bridge

Remplacement d’une dent absente par un bridge

29 Jan 2025
Pose d'un implant simple

Pose d'un implant simple

29 Jan 2025
Contention de Hawley

Contention de Hawley

29 Jan 2025
Corriger le vieillissement péri-buccal grâce à l’acide hyaluronique

Corriger le vieillissement péri-buccal grâce à l’acide hyaluronique

29 Jan 2025
Implant orthodontique : redressement d’une molaire

Implant orthodontique : redressement d’une molaire

29 Jan 2025
Affichage des articles 37-48 sur 184